Вся актуальная информация из мира спорта, шоу бизнеса, туризма и автомобилях. Также свежие новости планеты за последние сутки

Миллироботы смогут разрушать тромбы и пробивать себе путь через кровеносные сосуды

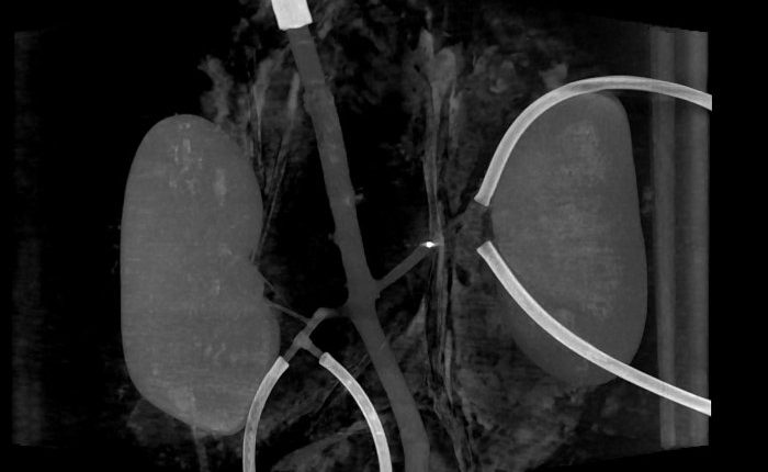
Миллиробот (яркая точка) пробивает себе путь через кровеносный сосуд

Ученые из Нидерландского университета Твенте и Медицинского центра Университета Радбауд провели успешное тестирование новой технологии по разрушению тромбов внутри кровеносных сосудов. Для этого они сконструировали специальных миниатюрных роботов, которые прокладывают себе путь через артерии. Механизмы получили название «миллироботы».

На самом деле это частный случай применения более обширной технологии, транспортной системы внутри кровеносных сосудов. Крошечные роботы напечатаны на 3D-принтере и имеют внутри постоянный магнит 1х1 мм. При воздействии внешнего магнита, который вращается в разных направлениях, робот также начинает двигаться, что и позволяет ему перемещаться внутри сосудов.

Рендер миллиробота для разрушения тромбов

Такой робот может быть контейнером для доставки лекарственных препаратов в нужную часть организма. В варианте разрушителя тромбов он снабжен выступающими частями в форме штопора. Это позволяет роботу перемещаться против кровотока и «сверлить» сгустки крови, уничтожая их. Процедура сложная и деликатная, она требует точного управления внешним магнитом, чтобы провести миллиробота через сосуды, не повредив их.

Читать также:
Китайская традиционная медицина на удивление эффективно снижает риск осложнений после инфаркта

Испытательный стенд, использовавшийся в исследовании

Важное преимущество технологии в том, что после выполнения задачи миллироботы могут быть безопасно удалены из тела пациента. Варьируя параметры магнитного поля, можно проводить их через различные участки кровеносной системы, преодолевая значительное сопротивление. Это открывает новые возможности для точечного воздействия на живые организмы.